Abstracts

Adult-onset Rasmussen Encephalitis treated using Transcranial Electrical Stimulation

Abstract number : 2.216
Submission category : 8 Non-AED/Non-Surgical Treatments (Hormonal, ketogenic, alternative, etc.)
Year : 2010
Submission ID : 12810
Source : www.aesnet.org
Presentation date : 12/3/2010 12:00:00 AM
Published date : Dec 2, 2010, 06:00 AM

Authors :
DANIEL ORTA, J. Calcaneo, M. Gonz lez-Arag n, L. Maldonado, A. Avell n, E. Argumosa and F. Fregni

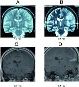
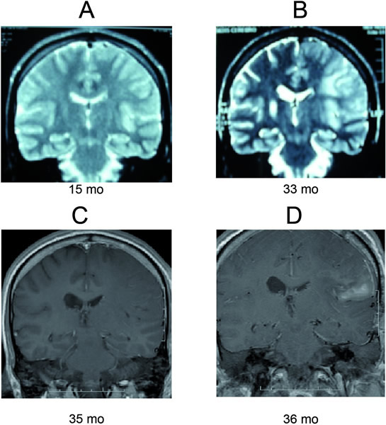
Rationale: Rasmussen s encephalitis is a rare, chronic, progressive disease that typically appears in childhood. Today, the only effective therapy is a hemispherectomy; however, this procedure is associated with irreversible neurological deficits. Novel therapeutic approaches for this condition are, therefore, necessary. One candidate might undergo cathodal direct current transcranial electrical stimulation. Methods: We describe a case of a patient with late-onset Rasmussen s encephalitis treated with transcranial electrical stimulation. The therapy was transferred by a disposable subdermal needle 12mm in length, and is 0.4mm diameter (27 gauge; cathode) and typical golden cup electrode (anode), delivered by Nicolet Endeavor CR (VIASYS Healthcare, USA) with a maximum safety output of 2 mA. The site for stimulation was determined by the EEG electrode 10-20 system based in a previous study. A constant current of 1 mA intensity was applied to the scalp (C3 (-/cathodal)/contralateral supraorbital area ( /anodal)) for 60 minutes in four sessions (0, 7, 30 and 60 days). Results: A 30 year-old male with late-onset Rasmussen s encephalitis underwent a constant current transcranial electrical stimulation of 1 mA intensity for 60 minutes in four sessions (0, 7, 30 and 60 days). Any complications were observed during the therapy. In the follow up, 6 months later our patient becomes seizure free, improved alert state and global aphasia. Conclusions: In the transcranial electrical stimulation, a weak constant electric current is injected into the brain via two large scalp electrodes. This weak current induces a change in membrane threshold (hyper or de-polarization) that results in focal changes of cortical excitability increase or decrease depending on the electrode polarity that lasts beyond the period of stimulation, modulating the cortical excitability in the human motor, prefrontal, and visual cortex. This is the first time that transcranial electrical stimulation has been used in serial sessions to treat Rasmussen s encephalitis and avoid or delay surgical treatment.
Non-AED/Non-Surgical Treatments