Abstracts

Effect and safety of radiosurgical callosotomy with and without inter-thalamic adhesion disconnection in adults with refractory epilepsy. Single Istitutional Experience.

Abstract number : 1.427
Submission category : 9. Surgery / 9C. All Ages
Year : 2025
Submission ID : 733
Source : www.aesnet.org
Presentation date : 12/6/2025 12:00:00 AM
Published date :

Authors :
Presenting Author: Daniel San-Juan, MD, MS – National Institute of Neurology and Neurosurgery. Mexico City, Mexico

Juan Romero Valencia, MD – Instituto Nacional de Neurologia y Neurocirugía Manuel Velasco Suarez
Sergio Jiménez, MD – Instituto Nacional de Neurologia y Neurocirugía Manuel Velasco Suarez
Guillermo Gutierrez Aceves, MD – Instituto Nacional de Neurologia y Neurocirugía Manuel Velasco Suarez
Emilio García-Gómez, MD – National Institute of Neurology and Neurosurgery Manuel Velasco Suárez
Yazmin Palomares-Salazar, MD – National Institute of Neurology and Neurosurgery. Mexico City, Mexico

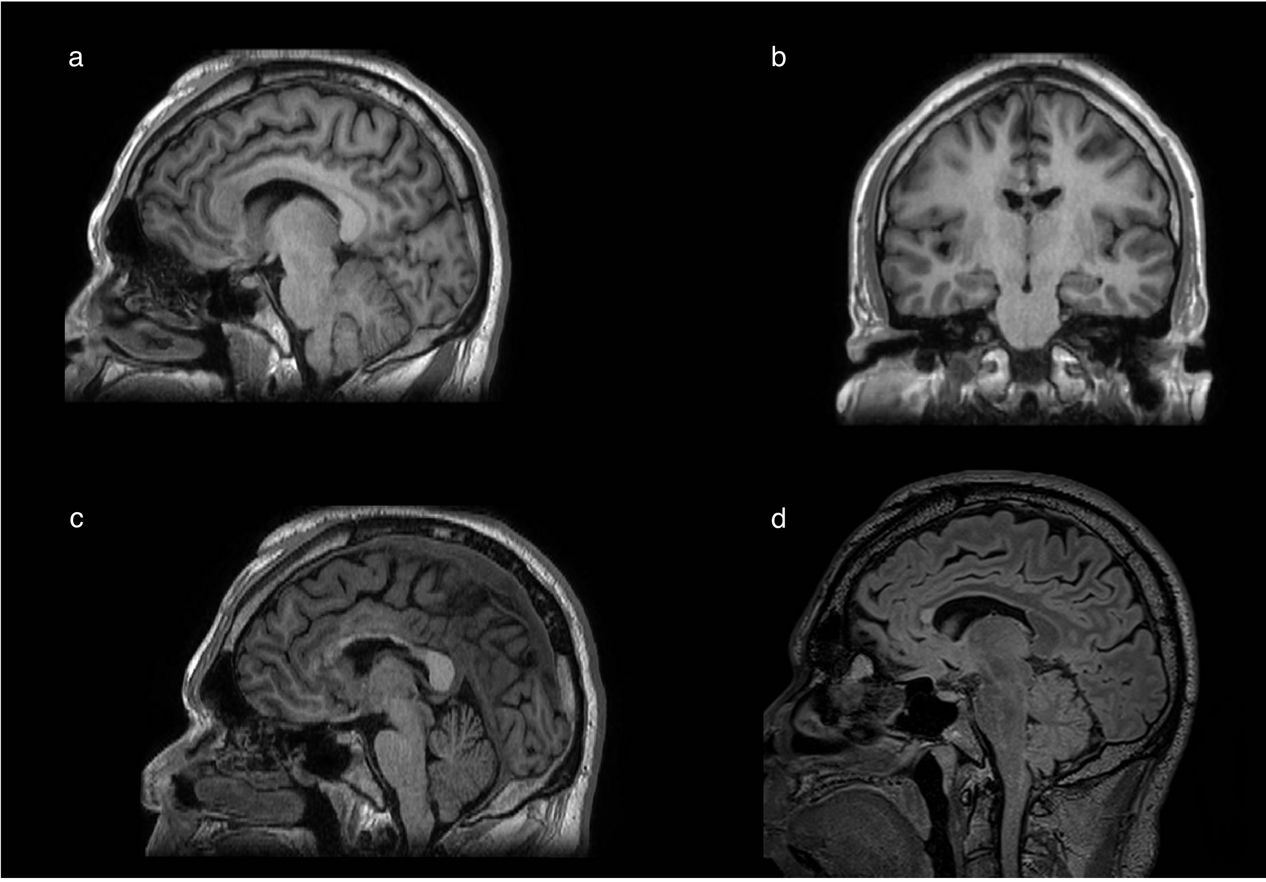
Rationale: Radiosurgical corpus callosotomy (rCC) is a safe and effective palliative procedure for patients with multifocal refractory epilepsy with tonic/atonic and another generalized seizures, however, 10-30% patients fail to this procedure, searching additional inter-hemispheric disconnection strategies including the disconnection of the “massa intermedia” (MI), has not been explored in humans. This study aims to provide initial evidence of the effect of add-on disconnection of the MI in adult candidates for rCC.

Methods: : A cohort study was conducted involving 13 adults diagnosed with drug resistant epilepsy candidates to rCC, categorized into two groups: rCC only (CA group n=10) and rCC with interthalamic adhesion disconnection (AD group, n=3) using linear accelerometers. The outcomes were the post-operative seizure control using the Ougini scale and the rate of adverse events evaluated at least during 1 year of follow-up.

Results: Only 3/13 patients were rCC with MI disconnection; 1/3 was seizure-free, the remaining patients’ atonic seizures were abolished, and a significative decrease in the rest of the seizures-type; in addition, 2/3 patients presented mild and transient adverse effects after radiosurgical treatments. In the CA group, 2/10 (20%) patients were seizure-free, and 6/10 (60%) patients achieved freedom from atonic seizures, while 9/10 presented mild to moderate adverse effects.

Conclusions:

The r-CC is an effective and safe treatment for reducing the atonic seizures in adults with DRE. In our cohort, the addition of MI disconnection shows an additive effect in reducing overall seizure frequency, particularly for atonic seizures, with mild and transient adverse effects. We suggest future work with larger cohorts to obtain statistically and clinically sound results, as well as to more accurately establish its safety profile.



Funding: The authors did not receive support from any organization for the submitted work

Surgery