Abstracts

Leptomeningeal inflammation masquerading as complex partial status epilepticus in a patient with Sturge Weber syndrome.

Abstract number : 2.355
Submission category : 18. Case Studies
Year : 2016
Submission ID : 195431
Source : www.aesnet.org
Presentation date : 12/4/2016 12:00:00 AM
Published date : Nov 21, 2016, 18:00 PM

Authors :
Salman Zahoor, Henry Ford Hospital, Detroit; Daniel Miller, Henry Ford Hospital, Detroit, Michigan; and Abhimanyu Mahajan, Henry Ford Hospital, Detroit

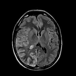
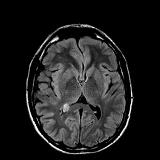
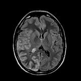
Rationale: Epilepsy is a cause of major morbidity in Sturge Weber syndrome, a segmental vascular neurocutaneous disorder classically associated with facial angiomas, glaucoma, and leptomeningeal capillary-venous type vascular malformations. Seizures occur in more than 75% of affected individuals and are a challenge to treat. The phenomenon of prolonged ictal paresis is a rare seizure sign that can be due to lesions affecting the centro-parietal lobe. Use of steroids to treat leptomeningeal inflammation resulting from angiomatosis of Sturge Weber syndrome has not been reported. Methods: Case Report : A case of a patient with Sturge Weber syndrome presenting with partial seizure like episodes with prolonged post-ictal paralysis, extensive leptomeningeal T2 hyperintensity noted on MRI with good response to Dexamethasone Results: A 24 year male was brought to our hospital after developing persistent left hemiparesis. He had been having brief spells of right sided headache and left hemiparesis for the past 18 months and was on Oxcabazepine for presumed seizure with post-ictal paralysis. He reported recent subtle twitching of the left face and eyes, left hemiparesis and psychomotor slowing with right frontal-temporal headaches but deficits were not resolving like prior episodes. His initial examination showed dysarthria, left homonymous hemianopia, left sided facial weakness, left hemiparesis and left hemianesthesia and although no clinical seizures were noted at this time, Valproic Acid was added for suspected partial status epilepticus and post-ictal paralysis. A 24 hour cEEG showed diffuse right hemispheric slowing, but no ictal activity. MRI brain with contrast showed extensive leptomeningeal FLAIR hyperintensity and enhancement throughout the right cerebral hemisphere consistent with leptomeningeal angiomatosis as well as prominent venous flow voids. Cerebral angiogram showed absence of right hemispheric cortical veins and aberrant venous outflow through multiple pathways, but no AVM or dural AV fistula. After 9 days of persistent deficits, he was started on Dexamethasone 4 mg every 6 hours, which was tapered to 2 mg Q6H with significant improvement in his headaches, left arm strength and communication skills within the next 3 days, and he was discharged with a tapering regimen over 10 days. MRI brain 5 weeks later showed interval decrease in size of previously noted dilated flow voids within the right parietal lobe and collateral draining veins. There was near complete resolution of previously noted leptomeningeal FLAIR hyperintensity. Follow up neurological examination 6 weeks post-discharge showed complete resolution of his neurologic deficits and spells. Conclusions: We report a case of persistent left hemiparesis in a patient with Sturge Weber syndrome attributed to leptomeningeal inflammation of the right cortical hemisphere which showed interval improvement of radiological findings and resolution of neurological deficits with Dexamethasone treatment. Conclusions: We report a case of persistent left hemiparesis in a patient with Sturge Weber syndrome attributed to leptomeningeal inflammation of the right cortical hemisphere which showed interval improvement of radiological findings and resolution of neurological deficits with Dexamethasone treatment. Funding: No funding was received in support of this abstract.
Case Studies