Abstracts

THE ULTIMATE CASE OF CURATIVE FOCAL HETEROTOPIA RESECTION: RESOLUTION OF LENNOX-GASTAUT SYNDROME AND EPILEPTIC ENCEPHALOPATHY

Abstract number : 2.349
Submission category : 9. Surgery
Year : 2014
Submission ID : 1868431
Source : www.aesnet.org
Presentation date : 12/6/2014 12:00:00 AM
Published date : Sep 29, 2014, 05:33 AM

Authors :
Jessica Fesler, Saad Kanaan, Timothy Mapstone and Yu-Tze Ng

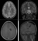
Rationale: Pediatric epilepsy patients with generalized or multifocal abnormalities on EEG and developmental delay were not classically considered for surgery, even if neuroimaging revealed a focal lesion. The new paradigm advocates for early focal epilepsy surgery, despite discordant or generalized EEG abnormalities. Current literature reflects this shift, most clearly in the realm Lennox-Gastaut syndrome symptomatic to hypothalamic hamartoma. However, this is not pervasive in current clinical practice. Many pediatric patients, especially those with developmental delay and epileptic encephalopathy, are still being overlooked for epilepsy surgery. We report here the ultimate case of focal heterotopia resection with gradual but complete resolution of seizures and behavioral abnormalities, which exemplifies that symptomatic generalized epilepsy and resultant epileptic encephalopathy may be reversible and potentially curable with resection. Methods: An eight-year-old boy began having complex partial seizures at age four, and progressed to Lennox-Gastaut syndrome with multiple seizure types, diffuse electrographic abnormalities, developmental delay, and severe behavior problems by age six. MRI revealed a left subcortical heterotopia. He was refractory to adequate trials of multiple medications and continued to have two atonic and fifteen generalized seizures daily. Despite lack of focality on EEG, the presumed cause of his intractable epilepsy was the grey matter heterotopia, and thus he underwent surgical resection. Results: Seizure frequency was improved immediately, but he still had daily seizures. He gradually became seizure free over three months and remained so even after stopping all medications with a paralleled resolution of the prior continuous generalized electrographic abnormalities. Furthermore, his behavior, learning, and speech all improved remarkably over the year following surgery. He caught up to his peers and was able to attend normal classes without special education needs. Two years after focal resection, this boy, who met criteria for Lennox-Gastaut syndrome, is normal and without seizures! Conclusions: This case exemplifies that epilepsy surgery may be successful with a focal cortical dysplasia, despite abundant generalized discharges on EEG. A focal epileptogenic process can be masked by generalized EEG abnormalities, and the generalized discordant electrical abnormalities gradually resolve after resection of the primary pathology, possibly representing secondary epileptogenesis, or at least a significant epileptic encephalopathy. Our patient demonstrates that focal resection can be curative with miraculous results, displaying the possibility for seizure freedom, resolution of epileptic encephalopathy, and return to a normal healthy childhood. This continues to reinforce early and vigorous treatment of epilepsy and the ever-expanding selection criteria for surgical candidacy. In a child with intractable epilepsy, despite discordant EEG pathology, if there is a lesion, take it out quickly!
Surgery